 Defect of upper/third of shin-bone after hematogenous osteomyelitis. |
|
 | Replacement phase of the defect by means of Ilizorov's apparatus. |
 |  |
| Replacement phase of the defect by means of Ilizorov's apparatus. |
 | Joining fragments of spin-bone with electrostimulation and osteoreparation. |
 |  |
| Joining fragments of spin-bone with electrostimulation and osteoreparation. |
 |  |
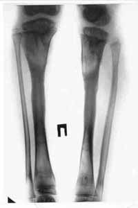
| Results of treatment. | |
 |  |
| Results of treatment. |