ru 
en 


Search and site map
Contact information. Feedback

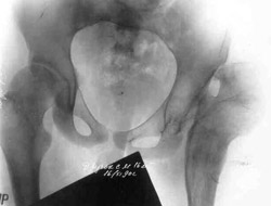
Congenital dislocation of left hip.
Congenital dislocation of left hip.
 
Schanz-Ilisarov's operation with elongation of hip.Schanz-Ilisarov's operation with elongation of hip.
Schanz-Ilisarov's operation with elongation of hip.
Schanz-Ilisarov's operation with elongation of hip.Dismantling of Ilisarov's apparatus.
Schanz-Ilisarov's operation with elongation of hip.
Results of treatment.Results of treatment.
Results of treatment.
Results of treatment (Patient).Results of treatment (Patient).Results of treatment (Patient).
Results of treatment (Patient).
© Ladisten